不整脈センター
不整脈の専門的治療に
チームで取り組んでいます。
診療方針と特徴
当院では、ますます高度化する不整脈診療に対応するため「不整脈センター」を設置し、チーム医療を展開しています。医師だけではなく、臨床工学技士や臨床検査技師、看護師などの不整脈診療に関わるスタッフを充実させ、それぞれが専門分野での技術力向上や人材育成に取り組んでいます。
2022年には、カテーテル室をリニューアルし、最新の設備で不整脈に対するアブレーションやデバイス植込みの手術を行っています。例えばレーザーアブレーションシステムの導入では、より迅速で安全な心房細動アブレーションが行えるようになりました。さらに、高度化しているデバイス治療に対応するため、昨年よりデバイス外来を立ち上げています。遠隔モニタリングをはじめ様々な専門的知識を要する業務を各専門スタッフが担当しています。
今後も不整脈チーム一丸となり、高知の不整脈診療を支えていきたいと考えています。
医師紹介

不整脈センター長 三戸 森児 Shinji Mito (循環器内科部長)
Field[得意分野]
不整脈を専門に診療を行っており、特に不整脈のアブレーション治療、デバイス治療を得意としています。
Message[患者さんへのメッセージ]
不整脈と一概に言っても、放置して良いものから、症状がなくても治療が必要なもの、命にかかわり早急な治療を要するものまで様々で、適切な判断が必要です。手術により根治可能な不整脈も多く、不整脈があると言われた方は是非、受診して下さい。
Qualifications[資格等]
- 医師の専門性資格
- 日本循環器学会 循環器専門医 その他資格等
- 日本不整脈心電学会 不整脈専門医
- 日本内科学会 認定内科医
- 日本不整脈心電学会 植込み型除細動器/ペーシングによる心不全治療 研修修了医
- WATCHMANトレーニング受講完了医
[ 厚生労働省医政総発0124第1号通知に準ずるもの、および日本専門医機構認定の資格等 ]

小松 洵也 Junya Komatsu
Field[得意分野]
循環器一般、不整脈
Message[患者さんへのメッセージ]
心不全、循環器救急疾患の対応をみんなで頑張っています。不整脈に対するカテーテルアブレーション、ペースメーカー治療を担当していることが多いです。高知の心不全治療のお役に立てるように頑張ります。
Qualifications[資格等]
- 医師の専門性資格
- 日本専門医機構 内科専門医 その他資格等
- WATCHMANトレーニング受講完了医
- レーザーバルーン(HeartLight)アブレーション研修プログラム修了医
[ 厚生労働省医政総発0124第1号通知に準ずるもの、および日本専門医機構認定の資格等 ]

山口 宗祥 Hiroyoshi Yamaguchi
Field[得意分野]
循環器内科一般
Message[患者さんへのメッセージ]
近森病院で初期研修医2年間を過ごし、循環器内科へ入職し、県外で勉強させていただいた上で、今年4月から近森病院で再び働かせていただくことになりました。これまでの経験を生かし、これまで以上に患者さんに寄りそいながら、よりよい医療ができるよう、日々努力をしていきます。
Qualifications[資格等]
- 医師の専門性資格
- 日本専門医機構 内科専門医
[ 厚生労働省医政総発0124第1号通知に準ずるもの、および日本専門医機構認定の資格等 ]

黒川 夢彦 Yumehiko Kurokawa
Field[得意分野]
循環器および内科全般を勉強しております。
Message[患者さんへのメッセージ]
救急・集中治療、心臓リハビリを勉強しております。患者さんファーストの精神で頑張ります。
Qualifications[資格等]
- 医師の専門性資格
- 日本専門医機構 内科専門医
[ 厚生労働省医政総発0124第1号通知に準ずるもの、および日本専門医機構認定の資格等 ]
- その他資格等
- 日本心臓リハビリテーション学会 心臓リハビリテーション指導士
- WATCHMANトレーニング受講完了医

保地 陽輝 Haruki Hoji
Field[得意分野]
循環器疾患を主に診療しています。カテーテル治療について勉強中です。
Message[患者さんへのメッセージ]
患者さんに寄り添った医療を提供できるように頑張ります。
Qualifications[資格等]
- 医師の専門性資格
- 日本専門医機構 内科専門医 その他資格等
- 日本心血管インターベンション治療学会 認定医
[ 厚生労働省医政総発0124第1号通知に準ずるもの、および日本専門医機構認定の資格等 ]

田中 漱一郎 Soichiro Tanaka (国内留学中)
Field[得意分野]
循環器領域を中心に内科全般を勉強中です。
Message[患者さんへのメッセージ]
患者さんに寄り添った診療をできるように日々精進して参ります。
非常勤 北村 聡子 Satoko Kitamura
Field[得意分野]
不整脈の原因となっている、異常あるいは不要な電気の伝導路・興奮部位に対して、カテーテルによる高周波焼灼や冷却を行うことにより、根治したり、症状を軽くしたりすることができます。この「カテーテルアブレーション治療」に携わっています。
Message[患者さんへのメッセージ]
高知追手前高校を経て、高知医科大学を卒業しました。国立循環器病センターで不整脈疾患について学び、2007年から高知県の医療に携わっています。多職種による不整脈チームが、一丸となって治療を行っています。
Qualifications[資格等]
- 医師の専門性資格
- 日本内科学会 総合内科専門医
- 日本循環器学会 循環器専門医 その他資格等
- 日本不整脈心電学会 不整脈専門医
- 高知大学教育研究部医療学系医学部門助教
- 厚生労働省 臨床研修指導医
- アメリカ心臓協会(AHA)認定 BLSインストラクター
- 日本救急医学会 ICLSコースディレクター・指導者養成ワークショップディレクター
- 日本内科学会 JMECCディレクター
[ 厚生労働省医政総発0124第1号通知に準ずるもの、および日本専門医機構認定の資格等 ]
新たな取り組み
心房細動に対するアブレーション治療
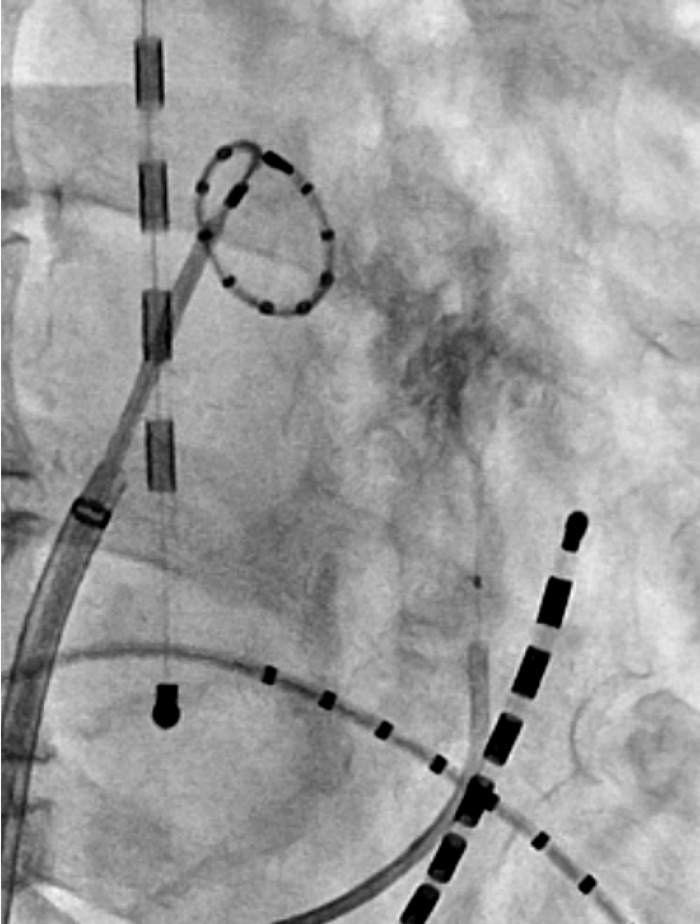
心房細動に対する治療はこの20年で大きく変わりました。心房細動のメカニズムは現在でも十分に解明されているとはいえませんが、肺静脈付近から異常な電気興奮が頻回に出ることによって心房細動が生じていることがほとんどであり、カテーテルを用いて肺静脈からの電気興奮をブロック(肺静脈の電気的隔離)することにより心房細動を抑制できます。現在ではアブレーション治療が第一選択の治療法として確立されており、心房細動の根治が期待できます。発作性心房細動であれば初回治療で約80%の患者さんで効果があり、複数回の治療を行えば約90%の患者さんで効果が認められます。アブレーション治療を行うことにより症状の改善、心不全や脳梗塞の抑制、さらには生命予後の改善も期待されます。しかしながら、持続性心房細動に対する治療成績は未だ十分とはいえず、治療成績の向上を図るため様々な治療法が考案されており、施設間でも治療方法が異なります。当院では様々な治療に対応できるよう最新の3Dマッピングシステム(EnsiteTM X、CARTOTM3)を導入して、各個人の不整脈器質に基づいたテーラーメードアブレーションに取り組んでいます。
発作性心房細動に対しては従来の高周波を用いたアブレーション治療ではなく、主にクライオバルーンやレーザーバルーンを用いた、短時間で低リスクのアブレーション治療を行っています。特にレーザーによるアブレーションは心筋の深部まで到達するため、肺静脈の再伝導が少なく、心房細動の術後再発率が低下することが期待されています。
持続性心房細動に対しては拡大肺静脈隔離を基本として左房後壁隔離、上大静脈隔離、低電位領域へのアブレーション、マーシャル静脈へのエタノールアブレーション、僧帽弁輪峡部へのアブレーション等の手技を組み合わせて、テーラーメードの治療を行っています。持続性心房細動は発作性心房細動に比べて,初回治療後の再発率が高く、複数回の治療を要することが多くなりますが、様々な治療を組み合わせることにより,治療効果が期待できます。
当院での心房細動に対するアブレーションは、患者さんの心臓を三次元的にコンピューター上に、再現しながら行うため、手術中に体が動いてしまうと手技が困難となりますので、静脈麻酔を使用して手術を行います。
また、手術が終わった後はカテーテルを抜く際に血管壁を縫合する止血デバイス(PERCLOSE PROGLIDETM)を使用して止血するため、手術後の安静時間が以前よりも短縮しており、大半のケースにおいて術後3時間程度で安静解除が可能です。
心房細動の入院期間(例)
- 1日目
-
- 血液検査、心電図検査
- 2日目
-
- 医師からの説明(ご家族も同伴してください)
- アブレーション
※術後3時間はベッド上安静
- 3日目
-
- 安静解除
- 血液検査、心電図検査
- 心電図モニターでの経過観察
- 4日目
-
- 術後の経過観察
- 退院後の注意事項の説明
- 退院
アブレーション治療機器
レーザーバルーンアブレーション
HeartLightTM X3
新たに次世代レーザーアブレーションの機器を2022年1月より導入いたしました。レーザーによりアブレーションは心筋深部まで焼灼することができるため、肺静脈の再伝導が少なく、心房細動の術後再発率が低くなることが期待されています。さらに2022年9月より最新のバルーンが使用可能となり、手術時間も短縮し、より安全で確実な手技ができるようになりました。当院は高知県で唯一のレーザーアブレーション導入施設です。当院では現在、発作性心房細動に対する第一選択のアブレーション法であり、全国で屈指の症例数を行っています。
高周波アブレーションカテーテル
TactiFlexTM
2022年より最新のイリゲーションカテーテルが使用可能となりました。より安全で効率的な焼灼を行うことができます。
クライオバルーン
アブレーション
(冷凍凝固アブレーション)
発作性心房細動に対しては低リスクで短時間で終えることができるクライオバルーンアブレーションを行っています。肺静脈の形態によっては向かないケースもあります。持続性心房細動にも適応が拡大しており、必要と考えられるケースであれば肺静脈隔離に加えてクライオバルーンアブレーションでの左房後壁隔離も追加しています。
エタノール
アブレーション
左肺静脈と左心耳の間を走行するマーシャル静脈へのエタノールアブレーションも行っています。静脈にエタノールを注入する化学的なアブレーション治療で、心臓の内側からの通常のアブレーションでは到達し難い部位へのアブレーションが可能です。実施できる施設は限られていますが、安全性および有効性が認められている治療法であり、有効性が期待できるケースで行っています。
3次元マッピングシステム
EnsiteTM X
2021年12月にEnsiteTM Xにversion upしました。磁気を使用することにより正確性が向上しており、より精密な解析と治療が可能です。
マッピングカテーテル
HD gridTM
効率的な高密度マッピングが可能で迅速かつ正確な診断が可能です。
止血デバイス
Perclose ProGlideTM
止血デバイスを用いて血管を縫合して止血するため、術後3時間で安静解除が可能であり、術後の負担が大幅に軽減されます。
デバイス外来
近年、心臓植込みデバイス(ペースメーカー、植込み型除細動器、植込み型ループレコーダー)は急速に進化しており、機器に精通した医師および臨床工学技士が対応できるようデバイス外来での診療を開始致しました。
心臓植込みデバイスの管理を毎週水曜日のデバイス外来で行っています。
遠隔モニタリング
通信技術の発達により、最近の機種においては植込みデバイスの情報を病院で確認できるようになりました。異常の早期発見や病院への通院回数を減らせるなどのメリットがあります。患者さんのご自宅に中継機器を設置していただく必要がありますが、操作は簡便になっておりますので当院でも積極的に遠隔モニタリングを導入しています。


