腎・透析センター
障害があっても、
住み慣れた場所で安心して
いきいきと暮らしていくために…
診療方針と特徴
透析外来は臓器不全患者の代替療法をおこない、自宅での生活を支援しています。
足が悪ければ杖をつき、目が悪くなると眼鏡、歯が抜けると入歯を使います。昔であれば、足が悪くなると歩いて食べ物をとることが出来なくなり、目が見えなくなると食べ物を探せません。火を使えない時代には歯が悪くなると食べられなくなります。
杖や眼鏡、入歯を使うことは代替療法です。
長い歴史の中で杖や眼鏡、入歯は自然に感じるようになりましたが、現在の臓器代替療法は金属やプラスティックの固まりで、人はまだ慣れていません。
命が助かっても障害や臓器不全があると幸せに感じることが出来なくなる人も多いので、安心して住み慣れた場所で生き生き暮らせる支援をします。
腎不全、心不全、肝不全に対し血液浄化療法と、補助療法として運動療法、食事援助、スキンケア、フットケアをおこなっています。腎不全は透析療法があり、臓器移植を除くと心不全、肝不全は軽症の患者しか治療法がなく、合併症を減らし、全身状態を良くするためには綿密な全身管理と補助療法が必要です。
NYHAIII、IVの心不全患者の1年生存率は30-40%と不良であり、循環動態が急変する血液透析への導入は予後不良要因です。94-97年のNYHAIII、IVの心不全患者でCAPDへ導入したのは10名で、半数が1ヶ月以内に死亡しましたが、98年に積極的な理学療法をデイケアで開始、導入した6名は23日で死亡した1名を除き3年から6年生存して、平均余命55ヶ月、以後も同等の成績です。
管理と補助療法をおこなう人的資源を備えたのが透析外来で、重症な状態で毎日デイケアに通う患者も居ます。
医師紹介

部長 吉村 和修 Kazunobu Yoshimura (腎臓内科・人工透析内科 部長) (臨床工学部部長)
Field [得意分野]
急性血液浄化、透析療法を中心に腎臓内科一般
Message[患者さんへのメッセージ]
腎臓病や透析療法は患者さんにはわかりにくい分野だと思いますが、できるだけわかりやすく説明できるよう努力していきたいと思います。よろしくお願いします。
Qualifications[資格等]
-
医師の専門性資格
- 日本内科学会 総合内科専門医
- 日本透析医学会 透析専門医・指導医
- 日本腎臓学会 腎臓専門医・指導医
[ 厚生労働省医政総発0124第1号通知に準ずるもの、および日本専門医機構認定の資格等 ]

宇都宮 慧 Kei Utsunomiya
Field [得意分野]
血液浄化を中心に腎臓内科一般での診療を行ってまいりました。
Message[患者さんへのメッセージ]
うまれも育ちも高知県高知市です。地元に少しでも貢献できればと考えますので、どうかよろしくお願いいたします。
Qualifications[資格等]
-
医師の専門性資格
- 日本透析医学会 透析専門医
- 日本腎臓学会 腎臓専門医 その他資格
- 日本内科学会 認定内科医
[ 厚生労働省医政総発0124第1号通知に準ずるもの、および日本専門医機構認定の資格等 ]
出口部ケア、カテーテル移動の解説
元 近森病院 腎・透析センター(透析外来)
部長 兼 臨床工学部部長 故 近森正昭 先生
解説(1)
はじめに
日本腹膜透析研究会では腹膜炎や出口部ケアについて同じ話が何度も蒸し返されています。 CAPD が特殊だという問題はありますが、皮膚については皮膚関係の学会、創傷については外科系の学会で標準的と考えられる知識を前提にして話し合う時期と思います。
創傷として出口部を見るとトンネル内は慢性創傷で出口部は創傷辺縁部(創縁)として扱われます。 3) P173-181
安定した状態に見えていても損傷、治癒を繰り返す活動的な創傷ですから創傷として良い状態を保ち出口部感染、トンネル感染を予防することが出口部ケアの目的になります。
私の理解できる範囲で皮膚科、外科の知識と CAPD 患者としての特性を説明します。
1)皮膚の構造 2)出口部の構造 3)創傷治癒 4)皮膚のアレルギー反応
1)皮膚の構造
皮膚は表皮、真皮、皮下脂肪の3層から出来ています。1) P19-38
真皮には血管網があり表皮に血流を提供しています。
表皮は基底層、有棘層、顆粒層、角質層に分かれていていますが、基底層で作られた角化細胞が4週間から6週間かけて顆粒層まで上昇して、扁平になり核を失ってケラチン繊維が凝集、バリア機能を持つ角質層となります。
角質層の直下で角化細胞内にあるラメラ顆粒から脂質が細胞の外へ放出され、角化細胞は硬く平たくなり周囲が放出した脂質に包まれます。
レンガを積み重ねてコンクリートで固めたような層状構造になって非常に強いバリア機能を発揮するようになります。
角質層はアミノ酸が分解して出来た天然保湿成分( NMF )と細胞間脂質によって水分が保たれ、角層の表面は皮脂腺から分泌された皮脂が薄い膜を作っています。
皮膚の表面は皮脂膜の遊離脂肪酸や汗に含まれる乳酸、アミノ酸が分解されたものによって酸性に傾き、 pH が 4.5-6.5 になっています。2) P34-35
脂性(あぶらしょう)の皮膚は酸性に傾き、乾燥肌ではアルカリに傾きます。
皮下にある脂肪がショックを受け止め、真皮が血流を提供し、角質が保湿され清潔に保たれていると非常に強い物理的バリアとなります。
局所条件には虚血、うっ血、浮腫があり全身条件には低栄養、異化亢進、免疫能低下があります。
2)出口部の構造
カテーテル出口部は A )トンネル部分、 B )周囲の皮膚、 C )境界部分という全く異なる3部位からできています。
A )トンネル部分は血管の少ない結合織や肉芽におおわれた管状の構造物で、トンネルの周囲は脂肪組織です。
カテーテルと密着しているために湿った環境が保たれ、出口部から感染が広がってこない限り安定した状態が保たれています。
創傷関係の学会では密閉状態の創傷として認識します。
創傷では毛細血管の透過性が高いため血漿成分が漏出してトンネル内を湿潤環境にします。
慢性創傷のため成長因子などの有益な成分は少なく組織傷害性の MMPs や蛋白分解酵素を含んでいます。
急性創傷の浸出液は創部を治すことが目的ですから線維芽細胞や成長因子を多く含みますが、慢性創傷では壊死物質を除去したり肉芽の成長を抑えることが目的のため組織傷害性のある物質が含まれます。
B )出口部周囲の皮膚は表面に薄い角質層があり鎧のように守られていますが、トンネル部分から蛋白分解酵素を含む分泌物が出てくるために傷つきます。
ドライスキンの皮膚では洗浄すると表面の脂質が失われ乾燥して角層がはがれて毛羽立ち粉を吹いたようになります。
3)創傷治癒
私の指で見る創傷治癒過程(乾燥環境)
凝固期
損傷直後、出血で創内が洗われます。
凝血塊で圧迫されて止血し、一次的に創は閉鎖されます。
止血された後に血管が拡張し浸出液が出てきます。

炎症期
この写真は4時間後、数時間すると血小板の刺激で白血球が増加して壊死物質や細菌を除去し、マクロファージが再生と免疫の建て直しを始めます。
増殖期
48 時間後、創内が分泌物で満たされ湿潤環境になると線維芽細胞や血管内皮細胞が遊走してきて 24-48 時間で創面が基底細胞で覆われていきます。同時に無傷だった毛細血管から脈管が伸び 48 時間で新生血管が表れます。
再構築期
96 時間後、損傷後1週間でコラーゲンの産生はピークとなり肉芽は収縮し始めます。微小血管、炎症細胞も減っていき肉芽は瘢痕に置き換わります。
瘢痕は成熟すると1日 0.2-0.7mm の速さで収縮し始めます。
4)皮膚のアレルギー反応
皮膚は硬い角質におおわれているのでアレルギーをおこすような化学物質はリンパ節まで運ばれてリンパ球と反応しアレルギー反応がおきます。
表皮内を移動して化学物質の情報を運ぶのはランゲルハンス細胞ですが、樹木の枝のような形をしています。
枝の形をして抗原をリンパ球に示す同じような細胞はリンパ組織や骨髄、肝臓などにも存在しますから総称して樹状細胞と言います。
樹状細胞は抗原を細胞表面にもっていて化学物質で変化した自分のタンパク質を細胞の中に取り込み、抗原に結びつけリンパ節に移動します。
日本樹状細胞研究会 http://jdcs.info/
danger theory
角化細胞がストレスを受けると ATP が放出され表皮にいる樹状細胞(ランゲルハンス細胞)が活性化、リンパ節へ移動し抗原を提示して免疫アレルギー反応が生じます。
角化細胞の危険信号で免疫アレルギー反応がおきると考える仮説を danger theory と言います。
同じ人が同じテープでアレルギーをおこしたりおこさなかったりすることを説明できます。
乙)実際の症例で見ていきましょう。
06 年3月 12 日 岡山での講演概要です。
出口部ケアは出口部感染やトンネル感染を予防するためにおこないます。
出口部感染やトンネル感染は皮膚や瘢痕が傷つきバリア機能が壊されたときに病原微生物が組織内へ侵入し炎症反応や免疫反応をおこしたものです。
傷がついてもバリア機能を保っていれば感染まで陥りません。
上皮化や肉芽形成は創傷治癒までの一時的なバリアとなります。
良い状態に皮膚やトンネルを保つことで出口部感染やトンネル感染を防ぐことが出来ます。
良い状態とはどんな状態で、どうすれば良い状態に出来るでしょう。
顔を洗うと突っ張ることはありませんか。
女性の方は化粧水をつけたりしていますが、化粧で肌が障害されて乾燥肌になり洗うと突っ張るという症状になる方が多いようです。
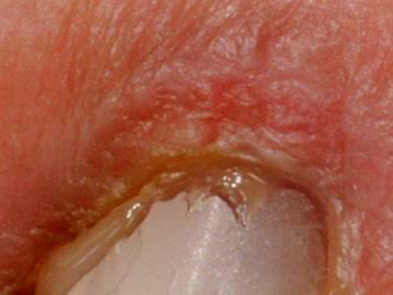
出口部周囲のドライスキン 61 歳、女性、心タンポナーデ
スキンケアせず洗浄した症例の導入3週目。
洗浄で保湿成分を失い雲母状に角質層が剥離しています。
肌理は左下から右上に流れています。
スキンケアせず洗浄した症例の導入3ヶ月目。
乾燥に適応して角質層の剥離は減っていますが、肌理は流れざらついています。
テープを剥がしたり、消毒剤を使っても皮膚は傷つきますが、浮腫、浸軟、ドライスキンなど傷つきやすい条件もあります。
1)浮腫
大部分の透析患者の皮膚はドライスキンです。
腎不全による自律神経障害から皮脂、汗が少なく、表皮には原料となる脂肪酸、アミノ酸が少ないため天然保湿成分の量が減り水を蓄えることができません。
むくみがあると天然保湿成分以外の部分に水があふれるため無構造になってもろくなりカテーテルの移動で傷つきやすくなります。
84 歳、男性、糖尿病、心筋梗塞による心不全
浮腫は肌理を保ちながら膨潤するため浸軟と異なり3次元構造を保ちます。
84 歳、男性、糖尿病、心不全
2)浸軟
通気性のないドレッシング材で皮膚を覆ったり皮膚の表面が濡れた状態になっていると角質層の水分量が増え、皮溝が消えます。
皮溝が消えた状態を浸軟と言いますが、浸軟になると皮膚細菌叢の爆発的増殖と菌種交代、皮膚 PH 上昇を引きおこし皮膚バリア機能が低下し感染を引きおこします。
71 歳、女性、腎不全と心タンポナーデで導入、低栄養でドライスキンがありカテーテルの下に溜まった水分で浸軟状態になっています。
浸軟状態
84 歳、男性、糖尿病、心筋梗塞による心不全
心不全で皮膚にむくみがありニトロダームを貼付していた部位が浸軟状態になっています。
バリア機能が低下するために二次的な変化としてまだら模様の発赤を認めます。
浮腫では表面に近いほど水分量が少ないため皮溝が残りますが、浸軟状態ではフィルムと密着している表面の水分量が多く皮溝がなくなって3次元構造が失われます。
出口部をフィルム材でおおうとトンネルからの分泌物で浸軟状態になることがあります。
近森病院は心不全患者が中心ですから白色ワセリンを出口に塗布し通気性が最もあるガーゼで出口部をおおっていますが、特に低栄養、浮腫のある患者では浸軟状態になっていないか注意しています。
3)出口部感染
トンネル部分と境界部分は慢性の創傷ですから多かれ少なかれ細菌が認められ、細菌の存在自体は創傷治癒と関係ありませんが、炎症反応を示したり創傷治癒が遅れる患者がいます。2) P78-87
細菌と患者の相互関係には(細菌の)汚染、コロニー形成、不顕正感染、顕正感染の状態があり、局所と全身の状態で細菌との相関関係が決まります。3) P177
細菌が表面に付着している状態は感染とは言えません。
発熱、疼痛、腫脹の炎症所見があれば顕正感染ですから抗生剤の適応です。
創傷の治癒遅延が見られる不顕正感染では局所や全身の状態を改善して治っていくか観察しますが、時に抗生剤使用が必要になります。
細菌の侵入による悪循環が生じている場合は抗生剤の使用で治癒が促進されます。
細菌が表皮内に侵入して炎症が生じ3兆候を認める場合は出口部感染です。
出口部感染
炎症反応がおきているために皮下の水分量が多く、写真では皮丘が拡張し盛り上がっています。
出口部感染のきっかけはカテーテルによる損傷が一番多いようです。
傷になりやすい全身的な因子は低栄養や除水不良、局所因子にはカテーテルの固定不良、浮腫、浸軟、アレルギー性皮膚炎があります。
出口部に炎症の3兆候を認めてもカテーテルによる損傷の治癒過程とアレルギーで炎症が生じる場合があります。
損傷の治癒過程では炎症期から増殖期に出口部が発赤、腫脹しているように見えます。
アレルギー
アレルギーは表皮表面の炎症反応ですから早期は肌理が保たれています。
4)トンネル感染
出口部感染が広がってトンネル感染になる症例はありますが、抗生剤の使用でトンネル感染まで広がらない場合がほとんどだと思います。
問題になるのは出口部感染なしに突然トンネル感染を引きおこす症例です。
ポケットの有る無しなど境界部分の形状と炎症や感染の関係は不明ですが、参考になるのは褥創に見られる横掘れ潰瘍です。 3) P270-283
褥創の辺縁部で表皮を残して直下の皮下脂肪が壊死になりポケットを形成することがあり横掘れ潰瘍と称します。
感染による凝固能亢進で褥創に接する脂肪の小血管に塞栓性閉塞が生じたり、褥創の慢性炎症で脂肪が壊死します。
境界部分の感染や慢性炎症が皮下脂肪の壊死を生じてトンネル周囲へ感染が広がりトンネル感染に発展すると考えられます。
61 歳、女性、糖尿病、脳内出血後遺症
カテーテルによるトンネル内の損傷で出口部感染になり抗生剤2日間で治癒。
出口部の治癒経過
59 歳、女性、糖尿病の患者がガーゼを剥がしたときに出口部上部の表皮が剥離しました。
凝固期 3) P23-28
損傷して出血しますが、凝血塊で塞がれて止血します。
止血して血管の透過性が上昇している浸出液の多い時期です。
5)炎症期
数時間すると血小板の刺激で白血球が増加して壊死物質や細菌を除去し、マクロファージが再生と免疫の立て直しを始めます。
損傷日
凝固期から炎症期の状態です。
6)増殖期
創内が分泌物で満たされると線維芽細胞や血管内皮細胞が遊走、 24-48
時間で出口部近くの創面が基底細胞で覆われていきます。
液体成分が多いので半透明になっているトンネル周囲の部分で基底細胞に覆われています。
同時に無傷だった毛細血管から脈管が伸び 48 時間で新生血管が表れます。
損傷2日目
周囲の皮膚の損傷部は充血し腫脹しています。
トンネル近くには壊死物質も見られます。
7)再構築期
コラーゲンの産生は損傷後1週間がピークですから肉芽は収縮し始め微小血管、炎症細胞も減っていき瘢痕に置き換わります。
瘢痕は成熟すると1日 0.2-0.7mm の速さで収縮しカテーテルと密着します。
トンネル近くの上皮は液体成分が減って細胞成分が増えるため濁った白色になり、出口部周囲の皮膚は瘢痕となり表面は表皮に置き換わります。
損傷7日目
12 日目にもなると瘢痕は縮小し上皮も成熟して周囲と同じ状態になってきますが、瘢痕表面の皮膚は肌理が粗く角質層が剥離しています。
損傷12 日目
(損傷部は上皮に置き替わっていますが未熟な上皮でざらついています)
表皮が損傷して基底細胞が失われると湿潤環境では周囲の皮膚と欠損部の毛嚢から上皮が遊走してきて上皮が生え替わります。
湿潤環境では凝固、炎症、増殖、再構築期を経て治癒します。
乾燥環境では創傷の滲出液が乾燥して痂皮となります。
痂皮のコラーゲンが邪魔をして上皮細胞の遊走速度は湿潤環境の半分になります。
フィブリンは乾燥していると分解されにくく、異物として治癒を邪魔します。
乾燥した環境では滲出液に含まれる成長促進因子が失われて上皮化が遅れます。
トンネル近くの損傷部位は元の状態に近づいて治っていますが、乾燥した状態で治癒した上方の皮膚は上皮化が遅れて瘢痕化し周囲の皮膚とは状態が異なっています。
8)ドライスキンのスキンケア
肌には乾燥肌、普通肌、脂性肌、乾燥型脂性肌がありますが、透析患者に多いドライスキンについて述べます。
乾燥肌や脂性と感じるのは肉眼では肌の肌理(はだのきめ)の変化を見ています。
表皮は溝(皮溝)にしきられた三角形の丘(皮丘)が規則正しく並んだ三次元構造になっていて肌理(きめ)と言います。
皮溝の交差する部分に毛嚢と皮脂腺があり皮丘に汗腺があります。
脂性では毛孔が開いており、乾燥肌では皮溝が浅く皮丘が扁平になります。
同じ人でも場所によって肌の肌理は違っています。
ドライスキンは傷つきやすく治癒が遅く、常在菌も黄色ブドウ球菌やグラム陰性桿菌が多い特徴があります。
乾燥肌
A )初期 4) P2-7
皮丘が大小不同となり一方向へ皮溝が流れます。
正常な皮溝の描く模様は星状ですが、一方向へ流れ始めると皮丘の角質がはがれ皮溝は星の形を保てなくなります。
B )中等症
角質が剥離して水分保持機能が失われるため乾燥し、水分が失われた皮丘は平坦になるためテカテカして見えます。
皮溝が浅くなって3次元構造が不明瞭になってきます。
皮丘がふっくらとして小さな三角形になっていると細かな陰影が生じて陶磁器のような肌と言われるしっとり感を生み出します。
C )重症
角質層が広範囲に失われ皮溝が消失します。
最もひどいドライスキンはシャントの穿刺部で見ることが出来ます。
アルコールで水分が強制的に失われ繰り返し傷つけられているからです。
79 歳、男性、閉塞性動脈硬化症の患者で人工血管上の皮膚です。
石けんを塗ったりテープで角質表面をはがす実験的な肌荒れを作ると健康な人では1日で 80 %、3 - 4日でバリア機能は元の状態に回復します。
合わない化粧品や過度の洗浄、慢性消耗性疾患など皮膚の障害が続いたり表皮が乾燥し角質層が毛羽だって水分が失われ更にはがれます。
角質層を元の厚さに戻すために通常の4週間より早く角化しますが、細胞が未熟な状態で角質になるため天然保湿成分の量が少なく水分保持能力が低下してしまいます。
角質層のレンガを重ねたような層状構造を作る細胞周囲の脂質の量も少なくてバリア機能も低下します。
人為的なバリア機能の低下した状態は剃毛で観察され多くの報告があります。
Hamilton,H.W.,Hamilton,K.R.,and Lone,F.J . :Preoperative hair removal, Canad.J.Surg.20,269~275,1977
剃毛のあるなしで手術開始時の皮膚状態を生検と走査顕微鏡で比較した論文で、剃毛すると皮膚に損傷が見られ皮膚の表面や深部に桿菌、球菌、赤血球を認めています。
角質層が障害されると乾燥し細菌やアレルギー源が侵入します。
肌の肌理を観察し症状の強さにあわせてスキンケアをおこないます。
角質層が剥離して表皮が乾燥するため未熟な角化細胞が増え、角質層の保湿成分が減るために表皮が乾燥するという悪循環を断ち切ることがスキンケアの基本になります。
保湿して表皮に適切な水分量を保ち角化細胞が成熟して角質層に天然保湿成分を多く含む環境を作ります。
白色ワセリンはアレルギー反応をおこさず保湿機能も高いのですがべたつきます。
ウレパールなどの尿素製剤は吸湿作用があり風呂上がりなど皮膚が湿潤な状態で塗ると高い保湿機能がありますが、傷があったり角質層の剥離が強いと刺激があり発赤します。
ヘパリン様物質のヒルドイドソフトも吸湿性があり保湿機能が高いのですが、他のクリーム基剤と配合変化を起こします。
他にも多くの保湿クリームがあり、保湿入浴剤も使用できます。 1) P139-143
皮膚の天然保湿成分はアミノ酸と脂質から作られますから低栄養だと材料が足りなくなり、血液透析患者では透析不足がドライスキンの原因になります。
実際にできることは消毒剤など有害な物質を使わない、皮膚がこすれることを避ける、テープの貼る場所を毎回変更する、出口からの分泌物は洗い落とす、保湿機能のあるクリームや軟膏を使用するなどです。
参考文献
1)宮地良樹 臨床医のためのスキンケア入門 医学書院 2003
2)夏井睦 これからの創傷治療 医学書院 2003
3)穴澤貞男 改訂ドレッシング 新しい創傷管理 へるす出版 2005
4)宇津木龍一 ミクロスキンケア 日経 BP 出版センター 2003
近森病院 透析外来 CAPD 室主任 後藤玲子 医師 近森正昭
解説(2)
【CAPDの出口部ケア】
近森病院 透析外来 CAPD 室主任 後藤玲子 医師 近森正昭
キーワード
出口部ケア、生食洗浄、接触顕微鏡
始めに
カテーテル出口部はトンネル部分と周囲の皮膚、その境界部から成り立っています。
トンネル部は肉芽が表面を覆い、出口部周囲は皮膚が覆うことで守られており、肉芽は不定期に、皮膚は 28 日周期で常に新生して健常性を保ちます 。
出口部への侵襲と上皮再生を 50 倍接触顕微鏡で観察しました。
対象と方法
01 年から 03 年までの CAPD 患者は 60 名で、 02 年にポピドンヨードを中止、生理食塩水の洗浄に変更して肉眼所見と 50 倍に拡大できるスカラ社の接触顕微鏡 USB マイクロスコープ M2 の画像で出口部を観察しました。
結果
97 年からカテーテル全周をシルキーテックで被う固定に変更してカテーテルの移動が減り出口部感染は減少しましたが、 01 年には4例の発赤した出口部が消毒剤による皮膚炎で硬結をきたし感染をともないました。
生理食塩水の洗浄に変更した 02 年後は出口部が発赤しても硬結を認めなくなっています。
不良肉芽は3年間を通じて6名発生しましたが、生食洗浄に変更した後半は2例で肉芽を生じても上皮に覆われ繊維化して退縮しています。
症例1
84 歳、男性、閉塞性肺疾患がありペースメーカーも5年前に挿入され、心筋梗塞から心不全が増悪し3年前に透析へ導入、心不全の進行で除水ができなくなり CAPD へ変更した患者です。
生食洗浄とワセリン塗布で健常な出口部が形成されていましたが、塩分の多い食事で浮腫が生じ CAPD 導入後 42 日目にカテーテルでこすれた部分が皮膚潰瘍となりました。
42 日目、皮膚潰瘍を生じています。
2日後、潰瘍面には壊死組織を認めます。
培養は黄色ブドウ球菌、壊死組織への付着です。
8日目、上皮が再生しています。
3週間目、痂皮を認めます。
1カ月後、皮膚の肌理(きめ)は保たれおり、トンネル部の肉芽は瘢痕化しています。
潰瘍面の創傷治癒で出口部感染ではないと判断しました。
抗生剤は使用せず生食洗浄とワセリン塗布を続け上皮が再生されました。
症例2
70 歳、女性、糖尿病、消毒剤を使う出口部ケアから洗浄へ変更した最初の症例を示します。
CAPD 導入 13 日目の出口部です。
ポピドンヨードによる接触性皮膚炎で肌の肌理が消失し、発赤と浮腫を認めます。
導入 16 日目、生食洗浄に変更した3日後ですが肌の肌理が回復しています。
症例3
84 歳、男性、腎硬化症、慢性心不全、出口部の潰瘍にイソジンを使用し出口部は2年間壊死組織のままでした。
壊死組織からは緑膿菌と黄色ブドウ球菌が培養されています。
イソジン消毒で上皮が再生しません。
生理食塩水洗浄に変更し、上皮が再生しています。
洗浄に変更すると表面が上皮化し不良肉芽は繊維化し退縮してきました。
考察
カテーテル出口部はトンネル部分と周囲皮膚の異なる状態から成り立っており、その境界部分は不安定です。
トンネル部はカテーテルと密着して湿った環境が保たれ、出口部から感染が広がってこない限り安定した状態が保たれています。
周囲の皮膚は表面に薄い角質層があり鎧のように硬い殻でおおわれているため洗っていれば安定した状態が保たれます。
境界部分は傷つきやすく上皮が欠損すると周囲まで障害を及ぼす引き金になる部分です。
トンネル部分の壊死組織を除去する蛋白分解酵素で境界部分がかぶれたり、カテーテルがこすれることで常に傷つけられています。
カテーテルがこすれると境界部分の角質層がはがされ上皮が傷害されますが、周囲の皮膚と毛嚢内の上皮が遊走してきて上皮は生え替わります。
イソジンやヒビテン、アルコールなどの消毒剤は細胞毒なので生まれたばかりの弱い上皮を殺してしまいます。
出口部の消毒をしていると境界部分が傷ついても上皮が再生されず、裸のまま弱い深部をさらけ出しているので感染を引きおこしたり不良肉芽が生じます。
成熟した強い角質に出口部が包まれていると消毒しても角質層に守られて発赤や排膿はなく消毒剤による不利益は今まで気づかれていませんでした。
出口部の細菌は皮膚の常在菌で皮脂を分解して皮膚を弱酸性に保ちバリア機能の一部として人間と共生しており害を与えていません。
毛嚢などの皮膚深部にも存在し強力な消毒で表面の細菌を殺しても2時間で元の数に戻ってしまいます。
皮膚の構造
皮膚は三次元構造で下層から更新され、一番上が角質層です。
角質層は非常に薄いのですが皮膚のバリア機能をにない、表層では細菌と共生して弱酸性を保っています。
角質は老化や低栄養で保湿成分が減少し、角質層の水分が減るとバリア機能が低下します。
表皮細胞が角質まで上昇する間に細胞核を失いケラチン線維を固めるフィラグリンが分解されます。
フィラグリンは分解されてペプチドやアミノ酸となり天然保湿成分 NMF として水分を保持します。
脂肪酸や糖脂質セラミドで構成された細胞間脂質は水を通さない膜として水分の蒸発を防ぎます。
紫外線はフリーラジカルを増やして老化を進め、乾皮症ではセラミドは減っていなくても NMR
が少なくなり保湿機能が低下します。
重症の乾皮症ほど NMR の量を示す角質層の遊離アミノ酸含有量が少なくなります。
低栄養の透析患者でも同様の異常が生じていると思われ、乾皮症に似た皮膚症状を示します。
皮膚表面は溝にしきられた三角形の丘が規則正しく並んだ構造になっていて肌理といわれており、皮溝の交差する部分に毛嚢と皮脂腺があり皮丘に汗腺があります。
正常な皮膚であれば皮丘はふっくら盛り上がっていますが、透析患者では乾燥して扁平になり皮丘がテカテカして見えます。
三角形の皮丘がきれいに並んでいます。
ドライスキンの皮膚は皮丘が扁平となり、肌理が大小不揃いで一方向へ皮溝が流れています。
健常な皮膚にはバリア機能と自浄機能があり正常な機能の維持にはスキンケアが必要です。
健常な皮膚では汚れを落とし保湿するだけで充分ですが、
透析患者ではドライスキンが多く対症療法としてステロイド剤や保湿クリームが使用されています。
症例2の方は始めてだったので洗浄後にスキンケアをしていませんでした。
洗浄だけしていると角化が激しくなるためワセリンやヒルドイドソフトの塗布が必要になります。
皮膚表面の角質層は死んだ組織ですから血液が流れて水分を調整したりできないため保湿成分の物理的条件で適正な水分量が決まります。
老化や低栄養で保湿成分が減ってドライスキンになっても、浮腫や炎症でむくみが生じても角質は剥がれたりもろくなります。
表皮が欠損すると周囲の皮膚と毛嚢に残った上皮が遊走して表皮が再生し、感染や皮膚炎が毛嚢まで及ぶと肌理が失われます。
正常な生理機能に必要な皮膚深部の立体構造を示す肌理を診断基準にすることができます。
出口部周囲は浮腫、ポピドンヨードの接触性皮膚炎、テープを剥がす際の機械的損傷および被覆材による皮膚侵軟でバリア機能が低下します。
表面の角質層は非常に強くカテーテルがこすれたくらいでは傷つかないのですが、角質層は過剰な水分を含むともろくなるため浮腫や炎症で傷つきやすくなります。
ポピドンヨードや分泌物に含まれる蛋白分解酵素は皮膚炎をおこし、被覆材は通気を妨げて表層の浮腫をおこします。
テープを剥がすと接触面の角質層が剥離し弱い部分が露出するので皮膚炎をおこします。
バリア機能が低下した出口部はカテーテル移動によって機械的に損傷されやすくなり、カテーテルの固定が不完全だとこすれて表皮が欠損します。
表皮の欠損部は周囲から上皮が遊走して修復されますが、弱い新生上皮は消毒剤によって破壊されます。
上皮が再生しなければ不良肉芽が生じたり、壊死組織に細菌が増殖します。
不良肉芽は出血しやすく、 膿性の分泌物は出口部の炎症を生じさせます。
不良肉芽が上皮に覆われると炎症性刺激が減るために繊維化して硬く健常な肉芽に変わっていきます。
終わりに
表皮下層に感染が広がると出口部感染になり、深部まで障害が広がると肌理が失われます。
ポピドンヨードを使用せず、洗浄によって汚れや刺激物が取り除かれると上皮は再生しやすく肌理のある健常な皮膚になります。
良い状態に出口部を保つためには皮膚を洗浄して健康な状態にすることが大事で、機械的な損傷を与えるカテーテルを固定して傷つかなくすることが最も重要です。
参考文献
1)宮地良樹 臨床医のためのスキンケア入門 148-155 医学書院 2003
2)夏井睦 これからの創傷治療 78-85 医学書院 2003
3)宇津木龍一 ミクロのスキンケア 日経 BP 企画 2003
解説(3)
【術後出口部の経時的変化でみた侵軟状態】
近森病院 近森病院透析科 吉村和修 光平郁美 下元小百合 後藤玲子 近森正昭
背景
腹膜透析療法において出口部の状態を良好に保つことは重要である。出口部の感染が進行すると、最終的にはトンネル感染による腹膜炎をきたす。
そのことは腹膜透析療法のテクニックサバイバルに影響を与える。
出口部の管理については主に消毒方法が論じられてきた。
一方、出口部の作成の極早期の時期、つまり術後すぐの状態が良好に推移するとその後の出口部の感染状況も良好に推移することを臨床的に経験する。
今回我々は内的な因子について検討するため挿入直後の出口部の形成過程を詳細に観察した。
方法
スカラ社の接触顕微鏡USBマイクロスコープM2で50倍に拡大して観察し、カテーテル挿入直後から経時的に観察し出口部の形成過程を詳細に観察した。
症例1
良好な出口部形成に至った症例を示す。
現病歴:73歳男性。
2006年7月4日にCABGを行っていた。
以前より高血圧、高脂血症を認め、CABGの際には腎硬化症由来と考えられるCr3mg/dlの慢性腎不全を認めていた。
その後徐々に腎機能悪化し、2009年8月20日血液透析開始。
同22日も透析行い、同24日にカテーテル挿入しCAPD開始し、同9月1日退院。
約二週間の経過で順調に経過した症例である。
経過:Fig.1術直後の像を示す。a 肉眼的所見 b 接触顕微鏡での50倍での拡大画像を示す。
カテーテル挿入術で出口部を形成すると、トンネル部は外界に解放された空洞として浸出液が漏出している。
拡大像で浸出液が漏出している像が認められ、やや皮膚には乾燥が見られる。
Fig 2 術後一日目の拡大画像を示す。
術後一日目には、トンネル形成により皮下の微小循環が障害され、炎症をきたし角質の浮腫を生じる。
出口部周囲の皮膚は浮腫で皮膚の溝が浅くなり、いわゆる肌理の境界が明瞭でなくなっている像が認められる。
Fig3に術後5日目の肉眼的所見と拡大像を示す。
術後5日目には、皮下の血管網が回復し、浮腫が改善してくる。
結果皮膚の肌理が次第に明瞭になってきている。
一方で出口部辺縁の皮膚がミイラ化し、健常部分との境界がはっきりしてくる。
Fig4に術後7日目の像を示す。
皮膚の壊死部分が脱落し、出口部を一周する痂皮の形成を認める。
浮腫軽減で溝が深くなり、肌理がよりくっきりと明瞭になっている。
Fig5に術後8日目を示す。
痂皮脱落し出口部を一周する潰瘍面形成 が見られた。
Fig6に術後18日目を示します。
潰瘍部は上皮化され、出口部の肉芽形成で周囲の皮膚が盛り上がっている。
肉芽は瘢痕化し、傷つき難くなる。
ただ、この出口部が形成される期間に浸軟状態となると、正常な上皮形成が阻害され感染に弱い状態がつづく可能性が想像される。
症例2
心不全が良好にコントロールされていない状態でカテーテル挿入した例を示す。
現病歴:症例は82歳男性。
1998年心不全にて来院され、その後心不全にて入退院を繰り返していた。
腎硬化症由来と考えられる慢性腎不全もあり、2001年4月23日血液透析導入された。
シャント不全を繰り返し2003年7月3日CAPDへ変更となった。
経過:Fig7に術後21日目の拡大像の所見を示す。
出口部周囲の上皮化は完成されているが、浸出がみられ全体に湿潤しており侵軟の状態である。
Fig8に一カ月後の像を示す。
aがカテーテルの過度の移動に伴い上皮が欠損し排膿が認められる。
bその二日後に治癒し上皮が再度おおっている像だが、湿潤し、侵軟が継続していることがわかる。
最初の出口部が完成する時期に侵軟の状態であると、辺縁の上皮化された皮膚の構造がもろく、傷つきやすい。
またいったん修復されても侵軟状態が継続しやすいこと示すと考えられた。
当初の上皮の形成を妨げた因子は心不全にともなう浮腫がコントロール不良な時期であったことが関与している。
症例3
肝硬変による難治性腹水の症例。
現病歴:78歳男性。
近医にて慢性C型肝炎による肝硬変、胆石、糖尿病にて加療されていた。
2009年3月14日心窩部痛あり黄疸出現。
17日に総胆管結石による閉塞性黄疸の診断で入院となり、同日ERCPにて排石を行った。
その後肝不全を併発し保存的に加療も腎不全を合併し26日透析開始となった。
血液透析では腹水コントロール困難であり6月12日CAPDへ移行した。
経過:Fig9に術後21日目の肉眼像を示す。
腹部は膨満し浸軟で皮膚がむくみ、発疹が散在、出口部が膨隆している。
Fig10に同日の拡大所見を示す。
出口部は侵軟しており、肌理が不明瞭な状態である。
上皮化はされているが、今後、物理的な侵襲には容易に上皮の損傷をきたす可能性が考えられた。
腹水コントロールが困難な状況であり、このことが出口部の正常な形成を阻害し、侵軟な状態が今後も継続していくと考えられた。
考察
正常の出口部形成過程は、術直後はトンネル部が外界に開放された空洞として滲出液が漏出し、皮下の微小循環が破壊される。
水分漏出は皮膚を乾燥させ、微小循環の破壊は角質の浮腫を生じる。
術後一週間程度で、角質の浮腫は改善し出口部の皮膚は脱落しその後上皮で覆われていく。
術前および周術期に心不全や肝硬変の腹水のコントロールが不良な場合、出口部は過度な湿潤環境に暴露され侵軟の状態となる。
そのことは、出口部上皮の正常な構造の形成を阻害し、術後早期の時期にとどまらず、長期的にも出口部の感染しやすい状況が継続する。
出口部感染の長期的な予防のためには、出口部の上皮が形成される術後早期はより厳密な体液管理が必要と考えられた。
結論
出口部の形成過程を接触顕微鏡にて経時的に観察した。
良好な出口部を形成するためには術前に十分な透析による体液管理が必要と考えられた。
解説(4)
注排液異常の集計と対策
近森病院 透析外来 CAPD 室主任 後藤玲子 医師 近森正昭
初めに
血管病変の強い患者に CAPD を導入しているため合併症を持った患者が多く、 CAPD 継続を困難にする注排液異常が多かったのですが、対策に予防の効果がでてきたと思われるため報告します。
対象と方法
84 年から 2003 年までの導入患者は 264 名、対象患者は血管病変を有するか通院が困難な患者で平均年齢 64 歳、カテーテルは 336 本、スワンネックカテーテルは 92 名、 108 本、スワンネック以外のカテーテルは 228 本でした。
カテーテルのねじれによる一時的な注排液異常は申告のない場合がありますから総数不明ですが、注排液異常が継続した患者は 28 名、導入時で液漏れを合併したのは 21 名、注排液異常でバッグ交換できなくなった 11 名の内、カテーテル交換に至った患者は8名、腹膜透析中止に至った患者は3名、注排液異常があり排液時間を延長させたりミルキングする間違った対応で閉塞させた4名を除くと注排液異常でカテーテル交換が必要だったのは 93 年までの4名でした。
腹部手術は 10 例、胆嚢摘出術3名、子宮癌全摘3名、胃切除2名、外傷による試験開腹1例、腹部大動脈グラフト置換1例でした。
子宮癌術後症例に大網癒着はありましたが、腹部の手術をしていても注排液に影響はありませんでした。
注排液異常予防のためにミルキングの禁止、排液時間の指導、便秘の管理をおこない、排液が少ない場合は注液し間を空けて再度バッグ交換させました。
結果
93 年以降カテーテル交換を要した症例は皮下トンネルで筋膜にカテーテルを通した1例と瘢痕ヘルニア根治術をおこなった1例で、注排液異常は導入時の一時的な発生だけとなっています。
考察
注排液異常は注液できない場合と、排液量が少ない場合を指しますが、腹腔内容物によりカテーテルがねじれたり、一時的に穴がふさがったり、腹腔内の透析液量が少ないだけかもしれません。
内腔が閉塞しない限り継続的な注排液異常は生じません。
カテーテルは腸管の蠕動で時計回りに移動し、注排液時の水流で跳ね上がり、カテーテルの重さで低い位置へ沈みます。
写真1は 70 歳、男性、糖尿病で慢性心不全の患者ですが、直腸に便塊がありカテーテルが持ち上げられ排液されませんでしたが、浣腸して注排液がスムースになりました。
注排液異常は朝が多く、異常があっても注液してバッグ交換を終了し、歩いたり排便して再度バッグ交換すると回復します。
年間 800 件前後の時間外電話対応をしていますが、排便管理で注排液異常の訴えはなくなりました。
患者の訴えも集計しましたが定性的に処理し、今回の報告では継続して注排液できない状態や注排液の異常で除水が不十分になった症例を集計しました。
そのため、 CAPD 導入時に注排液異常が多くなり、慢性期は腸動の悪い特定患者で生じていました。
導入時には透析液の化学的刺激で腸管の浮腫が生じ、状態の悪い高齢者と糖尿病患者では臓器微小循環が障害されているため腸動が低下します。
腸動の低下でガスと固形物に便が分離して腸管内ガスが増加して腸管が浮き上がり腸管膜がカーテン状に腹腔内をさえぎるため透析液の囲い込みやカテーテルの位置異常が生じます。
浣腸か、下剤、プロスタグランディン製剤投与をおこない改善しています。
慢性期は特定の患者でフィブリンが閉塞したり、排液時間を長くして大網をからませたり、便秘による透析液の囲い込みやカテーテル先端が胃の右側へ移動し大網にからんだ症例が認められました。
カテーテルは腸動に合わせて時計回りに動き、カテーテルの重さで低い位置へ移動しようとしますが、長期的には安定する位置に落ち着きます。
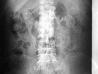
55 歳、男性、糖尿病の患者で1月 26 日に導入後の写真です。
2004 年5月9日、カテーテル先端は左腸骨
2004 年5月 25 日、カテーテル先端は臍部
2004 年6月 17 日、カテーテル先端は左腸骨
2004 年7月8日、カテーテル先端は右上腹部
2004 年8月3日、カテーテル先端は左腸骨
寝たきり患者では膀胱直腸窩より肝臓のある上腹部が低いため上腹部へ移動する場合があります。
写真7は 72 歳、女性、糖尿病で卵巣腫瘍切除術後、胆摘後。
下行結腸と壁側腹膜の間の溝にカテーテル先端が固定されています。
普段、横になっていることが多いとこの位置にカテーテル先端が移動しますが、左下側臥位でバッグ交換すると注排液の異常は生じません。
写真8は上腹部へカテーテルが移動したときに長時間排液して大網がカテーテルにはまり込み腸管の動きでカテーテルが引き伸ばされています。
注排液ができなくなったためカテーテル交換をおこないました。
一時的に排液が少ないとき、長時間排液にしたままにしたりミルキングするとカテーテルに大網などがはまりこみます。
カテーテルの側孔に大網が当たって注排液が悪くなっても吸引して側孔に引き込まない限り閉塞することはありません。
排液量が少ないと患者が思いこめば排液時間が長くなるため、排液量ではなく体重による自己管理へ変更し、排液時間は 15 分といった個別に具体的な指導をおこないミルキングは禁止しました。
外来では看護師が定期的な電話問診をおこない下剤の量を調整しています。
便がでているからと下剤をやめたり、下痢をしたからと下剤の量を減らしている患者が多いためです。
スワンネックカテーテルで注排液異常が継続した症例は5例、スワンネック以外は 23 例で発生数は倍ですが、スワンネックを使用したのは 80 年代で糖尿病や高齢者が少なく、腸動が低下する患者が少ないためでした。
膀胱直腸窩以外の位置にカテーテル先端が移動した患者は年間 10 %から 17 %で下行結腸と壁側腹膜の間に先端がはまりこむ症例が位置異常の8割を占め、残りは寝たきり患者で右上腹部にカテーテル先端が移動していました。
まとめ
カテーテル先端はバッグ交換のたびに移動します。
注排液異常の予防には導入時にミルキングの禁止と排液時間を具体的に指導し便秘の管理をすることが必要でした。
自主機能評価指標(日本透析医会の自主機能評価指標に基づく)
評価指標項目
2022/4/1時点の情報です。
Ⅰ.施設の状況
1.施設の設備
| ①施設の種別 | 病院 |
|---|---|
| ②病床数 | 512床※ |
| ③ペーシェントステーション台数 (透析ベッド数) | 40台 |
[注記]
- ※
- 病床編成の見直しにより、2024年1月29日より489床となっています。
2.施設の機能
| ①準夜透析の可否 (21時以降終了) | 可 |
|---|---|
| ②透析室の終了時間 (通常時の最終透析回収時間) | 22時 |
| ③早朝透析の可否(8時以降開始) | 不可 |
| ④オーバーナイト透析の可否 (日をまたがる透析で6時間透析以上) | 不可 |
| ⑤在宅血液透析の可否 | 不可 |
| ⑥オンラインHDFの可否 | 可 |
| ⑦CAPDの可否 | 可 |
| ⑧シャント手術の可否 | 可 |
| ⑨PTAの可否 | 可 |
3.医療スタッフの状況
| ①透析に関わる医師数 | 常勤医師:3人 |
|---|---|
| ②透析医学会会員の医師数 | 2人 |
| ③透析専門医の人数 | 1人 |
| ④透析指導医の人数 | 1人 |
| ⑤透析技術認定士の人数 | 6人 |
| ⑥透析療法指導看護師の人数 | 1人 |
| ⑦血液浄化専門臨床工学技士の人数 | 1人 |
| ⑧管理栄養士の有無 | いる(常勤) |
4.組織体制の状況
| ①医療安全委員会の有無 (災害、感染対策を含む) | ある |
|---|---|
| ②事故報告体制の有無 | ある |
Ⅱ.患者の状況
| ①外来HD患者数 | 80人 |
|---|---|
| ②外来PD患者数 | 4人 |
※掲載日:2022/4/27

