感染症内科
高知県で唯一独立した感染症内科。
多様化・複雑化する感染症を
より専門的なアプローチで対応。
近森病院の大内科制について
近森病院内科は、前副院長浜重直久医師が内科部長となった1988年より「内科医は、専門医である前にジェネラリスト(総合内科医)であるべき」という信念のもとバランスのとれた内科医を育成し続けています。
発足当時は、7名であった内科医も現在では58名となりました。医学の進歩により診断と治療により高度な専門性が求められる様になったため、2020年からは、より専門性を高めるため、循環器内科や消化器内科などに分かれましたが、浜重先生の信念を受け継ぎ1フロアーの医局で病棟も共有し、毎朝のミーティング、週1回の症例検討会、月1回のCPC(臨床病理検討会)など全員で集まり、内科の各診療科を統合した「大内科制」を堅持し、各診療科の医師が自由に相談して診療を行う垣根のない診療を心掛けています。
診療方針と特徴
当科は高知県で唯一独立した「感染症」を担当する診療科です。昨今の感染症を取り巻く環境は多様化・複雑化しており、国内では新型インフルエンザ、デングウイルス感染症、SFTS(重症熱性血小板減少症候群)、高度耐性菌による感染症(AMR)が出現。
また、国際的にはエボラウイルス感染症やSARS、MARS(中東呼吸器症候群)といった新興感染症などが出現し、その対応にはより専門的なアプローチが必要になっています。そのような状況に対応すべく、当院では、感染症専門医・指導医1名、認定資格をもった細菌検査技師4名、認定薬剤師2名が在籍し、高度かつ専門的な診療体制を整えています。「感染症が気になる」、もしくは「感染症かもしれないけど、どうしたらよいか分からない」など、不安やお悩みがあれば気軽にご相談ください。
医師紹介

部長 石田 正之 Masayuki Ishida
Field [得意分野]
呼吸器、感染症の全般の診療を行っています。特に呼吸器分野では、呼吸器感染症、内視鏡診断・治療、急性期呼吸管理を、感染症分野では、細菌感染症、輸入感染症(マラリア、デング熱)、蚊媒介感染症(デング熱、SFTSなど)、寄生虫感染症を得意としています。
Message[患者さんへのメッセージ]
呼吸器(肺)、感染症全般に対応させていただいています。肺のこと、感染症のことでご相談があれば気軽にご相談ください。
Qualifications[資格等]
-
医師の専門性資格
- 日本内科学会 総合内科専門医・指導医
- 日本呼吸器学会 呼吸器専門医・指導医
- 日本感染症学会 感染症専門医・指導医
- 日本呼吸器内視鏡学会 気管支鏡専門医・指導医 その他資格等
- 日本感染症学会 評議員
- 日本化学療法学会 抗菌化学療法指導医
- 日本がん治療認定医機構 がん治療認定医
- Infection Control Doctor
- 厚生労働省臨床研修指導医
- 医学博士(長崎大学-2012年)
[ 厚生労働省医政総発0124第1号通知に準ずるもの、および日本専門医機構認定の資格等 ]
主な疾患と治療方法
肺炎
細菌やウイルスなどの病原微生物が感染して肺に炎症を起こす病気です。2019年の厚生労働省の統計によると、わが国における肺炎による死亡数は第5位となっています。原因となる微生物は肺炎球菌が最も多く、次いでインフルエンザ菌、肺炎マイコプラズマとなっています。
主な症状は咳、痰、息切れ、胸の痛み、発熱などがみられます。しかし、高齢者は肺炎を起してもこのような症状をはっきりと示さないことがあります。
検査
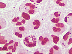
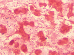
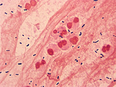
胸部エックス線画像、血液検査で診断します。肺炎と診断した場合には、さらに原因となる微生物を調べる検査を追加します。喀痰や血液から微生物の培養を行ったり、鼻やのどの奥を拭う検査や尿検査を行い、原因微生物の抗原や抗体を調べます。(下記画像:喀痰グラム染色)
治療
病原微生物に対応した抗菌薬で治療します。また、肺炎は治療以上に予防が重要といわれており、普段から栄養の保持を心掛け、よく体を動かし、禁煙に努めること。さらに、インフルエンザワクチンや肺炎球菌ワクチンを接種しておくことが大切です。急性胃腸炎
急性胃腸炎とは、急性に発症する胃腸症状を主体とした症候群です。ほとんどは感染性胃腸炎で、なかでもノロウイルスやロタウイルス等のウイルス性のものが多いですが、一部に細菌性や原虫・寄生虫によるものもあります。主な症状は下痢、嘔吐、腹痛で、発熱および倦怠感を伴うこともあります。一般的にウイルス性胃腸炎は嘔吐が激しく、細菌性腸炎では下痢が激しくなる傾向にあるといわれています。また、一般的にウイルス性胃腸炎よりも細菌性腸炎のほうが重症になりやすく、しばしば激しい腹痛、血便、38℃以上の高熱を伴います。各症状の出現頻度には患者さんの年齢や病原体による差もありますが、個人差が極めて大きいのも急性胃腸炎の特徴で、症状の持続期間も個人差が大きいです。
検査
診断は症状や診察の所見で行う場合が多いですが、細菌の関与が疑われる場合は、血液や便の微生物学的検査を行うことがあります。治療
ほとんどの場合、数日~1週間程度で自然軽快するため、脱水に注意して経口もしくは経静脈的に水分の摂取を促していくことが基本になります。抗菌薬の効果が期待できる細菌性腸炎の場合でも、ごく一部の例を除き抗菌薬の投与の必要はありません。診療実績
当科の主な診療内容
- 感染症診療コンサルテーション
- 抗菌薬適正使用支援(抗菌薬適正使用支援チームとして)
- 発熱患者の原因診断
- 院内感染対策(感染対策委員会、感染対策チームと連携)
2020年の実績
- 感染症コンサルテーション件数:88件
- 抗菌薬適正使用支援介入件数:724件
