画像診断部
知識と技術を研鑽し、
高精度・高機能化する機器に対応。
最小限の負担で最大限の画像を提供します。
役割と特徴
画像診断部は診療放射線技師と事務員で構成され、現代医療に欠かせない様々な画像検査を行なっています。近年、CTやMRIをはじめとする高度医療機器の技術進歩はめざましく、より高精度・高機能化しています。私たちは時代に合った高度な知識や最新技術を習得するために様々な研修会、学会等に参加し研鑽しており、「患者さんに最善の画像提供」を合い言葉に、最小限の負担で最大限の医療画像情報の提供ができるように取り組んでいます。放射線科はもとより他職種とも協力し、医療チームの一員として検査や治療のサポートをしていきます。
メッセージ
より良い検査にするためには患者さんのご協力や関わりが非常に重要となります。検査や放射線についての疑問や要望がございましたらお気軽にお尋ね下さい。スタッフ一同、安心・安全に検査や治療を受けていただけるよう心がけてまいります。
トピック
- 2019年8月
- GE Healthcare社製 Discovery MR 750w Signa Architect 3T導入しました。
- 2020年9月
- GE Healthcare社製 VCTからRevolution EVO CTに入れ替えしました。
- 2022年6月
- キヤノン社製 Ultimax-i(X線透視装置)を導入しました。
- 2022年9月
- 島津社製 Trinias C12(B5室)バイプレーン化しました。
- 2023年4月
- 外来センターCTにGE Healthcare社製 Revolution APEX(256列CT)を導入しました。
検査機器・設備
検査機器・設備 一覧
横にスクロールしてご覧ください。
| 検査機器・設備 | 台数 | 製品名 | 製造元 | |
|---|---|---|---|---|
| CT | 3台 | 1台 | Revolution APEX(256列) | GE Healthcare |
| 2台 | Revolution EVO(64列) | |||
| MRI | 2台 | 1台 | Signa Architect(3T) | GE Healthcare |
| 1台 | Signa HDxt(1.5T) | |||
| 血管造影装置 | 3台 | 1台 | CVS Package | 島津メディカルシステムズ |
| 2台 | Trinias B12 | |||
| IVR-CT | 1台 | Artis Zee Biplane SOMATOM Difinition AS CT |
SIEMENS Healthneers | |
| Hybrid O.Rシステム | 1台 | Infinix-Celeve-i | キヤノンメディカルシステムズ | |
| 一般撮影装置 | 9台 | RADspeed Pro | 島津メディカルシステムズ | |
| デジタルラジオグラフィー(FPD) | 11枚 | CXDI-710C Wireless CXDI-810C Wireless |
キヤノンライフケアソリューションズ | |
| 歯科撮影装置 | 2台 | 1台 | Ortho Stage AUTOⅢN CM | ASAHIROENTGEN |
| 1台 | 70kVデンタルシリーズALULA | |||
| X線TV装置 | 2台 | 1台 | SONIAL VISION G4 | 島津メディカルシステムズ |
| 1台 | Ultimax-i | キヤノンメディカルシステムズ | ||
| SPECT-CT | 1台 | Discovery NM/CT 670 | GE Healthcare | |
| マンモグラフィ | 1台 | AMLETS FDR MS-2000 | FUJIFILM | |
| 骨塩定量装置 | 1台 | ダイクロマスキャンDCS-900EX | HITACHI アロカメディカル | |
検査機器・設備 詳細
CT
Computed Tomography
コンピュータ断層撮影装置
CT(Computed Tomography)
とはX線を使用して
輪切り画像を
撮影することができる装置です。
胸部から骨盤の範囲を10秒程の息止めで撮影ができ、単純撮影のみであれば5分程で検査を終了することができます。また、より詳しく検査する際は造影剤を使用します。単純撮影では分かりづらかった病変を発見でき、心臓の血管をはじめ、頭部、体幹、下肢など全身の血管の形態をわかりやすく映し出すこともできます。そして、撮影した画像を基に特殊な画像解析ソフトを使用して様々な画像解析を行い、患者さんにより必要な画像提供を行っています。
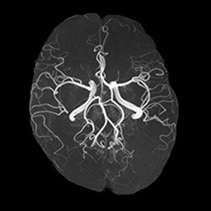
MRI
Magnetic Resonance Imaging
核磁気共鳴画像
MRI(Magnetic Resonance Imaging)とは
核磁気共鳴画像と言い、磁石と電磁波を
利用し様々な方向から体内を撮像できる装置です。
X線を使用しないため被曝が無く、頭部や心臓、腹部、整形領域など様々な部位の撮像が可能です。特に急性期の脳梗塞や頭の小さな出血を映し出すのに非常に有効です。また、造影剤を使用せず頭部や下肢などの血管の形態や流速を映し出すことも可能です。MRIは強力な磁石でできているため金属吸着や火傷、ペースメーカーの誤作動など様々な危険を伴います。安全に検査を行うため、検査前に確認書への正確な記入をお願いします。また入室前にも確認をさせていただきますのでご協力をお願いいたします。
血管造影装置
血管造影装置は、カテーテル
(特別な管)を
血管に挿入して造影剤を流し、
血管の形態を動画や静止画として
描出する装置です。
循環器内科医はその画像を基に、狭くなった血管に対して小さな風船や金属の筒を用いて治療を行います。主に狭心症や心筋梗塞などの虚血性心疾患に対して治療する経皮的冠動脈形成術(PCI)や、末梢血管、腎動脈狭窄・閉塞に対して治療するEVT、不整脈に対して治療するアブレーション等に使用されます。
IVR-CT
Interventional radiology
computed tomography
IVR-CT装置は、1つの部屋に血管造影装置と
CTが装備されており、部屋を移動すること無く治療と
CT撮影を行う事ができるため、
より高度な治療を行うことが可能となっています。
主に放射線科や脳神経外科の血管内治療等に使用しています。放射線科では、肝細胞癌に対して治療するTACEや、外傷等によって体内に生じた出血を止血するTAE、透析患者さんの狭くなったシャント血管を広げるPTA、CTを用いて正確な位置を把握しながら生検するCTガイド下生検などに使用しています。脳神経外科では、脳梗塞に対して治療する血栓回収療法や、脳動脈瘤に対して治療するコイル塞栓術、頚動脈狭窄症に対して治療する頚動脈ステント留置術などに使用しています。
Hybrid O.R システム
ハイブリッド手術室
Hybrid O.Rシステムとは、
外科的治療を行える手術室に
カテーテル血管内治療を行える
血管撮影装置を組み合わせたシステムです。
従来では手術中に移動型の透視装置を運び込み、透視・撮影を行っており、高度な術式に対応できませんでした。しかしHybrid O.Rシステムの導入により高画質な透視・撮影が行え、また高画質な3D画像を作成することができ、TAVI(経カテーテル大動脈弁植え込み術)やステントグラフト内挿術(大動脈瘤の治療)などの先進的な手術を迅速かつ安全に行うことができます。
一般撮影装置
一般撮影とはいわゆる
レントゲン検査のことで、
主に胸部や腹部、
整形領域など全身の検査、
歯科領域や顎関節の撮影にも
使用されています。
従来ではフィルムでの撮影が主流でしたが、現在ではFPD(フラットパネルディテクタ)を使用しており、画像がデジタル化されたことによって撮影した画像を瞬時に確認することができ、現像する時間が無いため、非常に撮影効率が高くなっています。また画質の向上に伴い低線量での撮影ができるため被曝低減が可能となっています。
X線TV装置
透視検査と撮影が行える装置で、
注腸造影や膀胱造影、胃透視、
整形領域の撮影や透視検査など
を行っています。
ERCP(内視鏡的逆行性胆管膵管造影)や透視下BF(気管支内視鏡)、透視下CS(大腸内視鏡)など内視鏡を使用した透視検査にも使用しています。
SPECT-CT
RI検査
微量な放射線を放出する
薬を体内に投与し、
体内から放出された放射線を
測定する装置です。
RI検査(ラジオアイソトープ)とは、微量な放射線を放出する薬を体内に投与し、体内から放出された放射線を測定するSPECTという装置を用いて、様々な臓器の血流や働き(機能)を調べる検査で、その種類は30種類にも及びます。当院では主に脳や心臓、肺、骨、腎臓、腫瘍、甲状腺機能などの検査を行っています。SPECT-CTとはSPECTとCTが一体化した装置で、それぞれの撮影した画像を重ね合わせることで、より正確に病変位置の特定を可能とする機能画像を取得できます。
マンモグラフィ
乳腺・乳房専用X線装置です。
当院の装置はFPD(フラットパネルディテクタ)を搭載しており、微細石灰化の形状まで鮮明に描出でき、より高画質な画像を提供することができます。撮影は女性技師のみが携わっていますので、安心して検査を受けていただけます。
骨塩定量装置
腰椎や股関節の骨から2種類の
エネルギー差により
骨の密度を測定し、
骨粗鬆症や代謝性骨疾患の
検査に使用します。
